
Author
Dr. Walter Devoto
About Dr. Walter Devoto
Dr. Walter Devoto graduated with honours in dentistry and dental prosthesis in 1991 from the University of Genoa, Italy. He is particularly interested in the fields of conservative dentistry and esthetic dentistry and runs his own private practices in Sestri Levante and Portofino. In addition, he is collaborating with diverse prestigious dental offices throughout Europe that specialize in esthetic dentistry. He has worked as a teacher and demonstrator at the University of Genoa and as a lecturer at the universities of Siena and Madrid. Now, he is a lecturer at the International University of Catalonia, Barcelona, and visiting professor at the Universitè de la Mediterranee, Marseille.
About the case
What could be simple about restoring a peg shaped lateral? With 3M™ Filtek™ Easy Match Universal Restorative It is easy to focus on shape, contour and anatomy, while achieving a natural-looking, aesthetic result – without worrying about multiple layers and shades of composite.
Dental restorative used: 3M™ Filtek™ Easy Match Universal Restorative, Natural shade
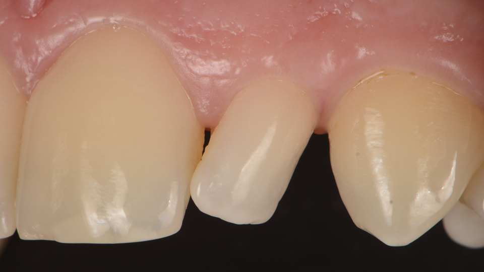
Initial situation 
After isolation and retraction, the tooth’s enamel is minimally prepped with a fine diamond bur, to enhance adhesion
The preparation and proximal aspects of the adjacent teeth are etched with phosphoric acid
3M™ Scotchbond™ Universal Plus Adhesive is applied to the prep and adjacent teeth, dried and cured
3M™ Filtek™ Easy Match Universal Restorative is used to contour the distal aspect of the central incisor, as well as the mesial aspect of the canine 
An increment of Filtek Easy Match Universal Restorative is placed on the buccal aspect and contoured to provide a scaffold for the mesial and distal contours of the lateral
- Using a sectional matrix, the distal wall and contact point with the canine is created
- The same procedure is repeated for the mesial aspect of the lateral, ensuring a contact point
After the general contours are defined, and contact points established, the restoration is ready for finishing and polishing 
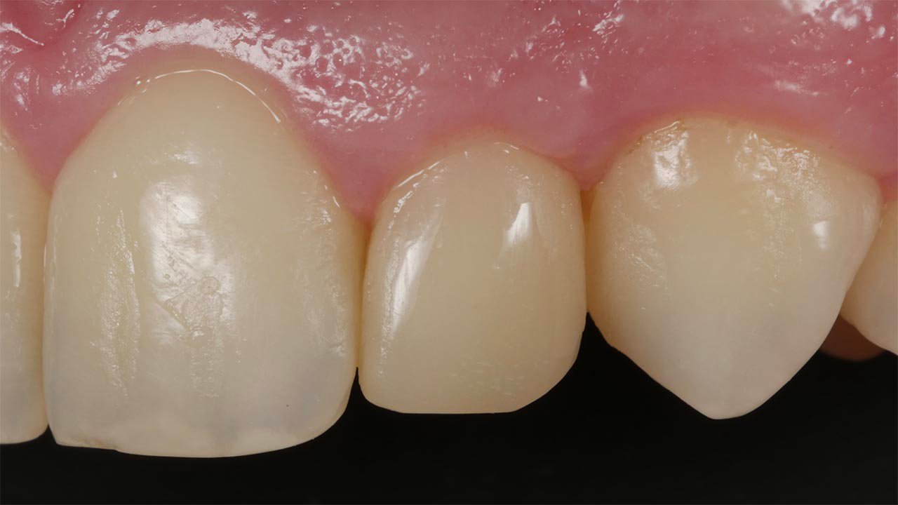
Final appearance, after finishing and polishing, as well as gingival healing 
Recommended products -
Dental restorative used: 3M™ Filtek™ Easy Match Universal Restorative, Natural shade 
Footnotes
© Solventum 2025. Solventum, the S logo and Filtek are trademarks of Solventum or its affiliates. 3M and the 3M logo are trademarks of 3M Company. Other trademarks are the property of their respective owners
Article published by a Solventum Certified Distributor