Posterior restorations are challenging: many different materials can be used, direct or indirect. In this clinical case, a young patient had a debonded crown on second upper premolar and two failed restorations in first upper molar and first upper premolar. When we face multiple restoration, indirect approach should be considered. Adhesive partial restorations were made of lithium disilicate and crown of full-contour zirconia. Different materials, different indications but only one cement for all was used.

Initial situation and field isolation with rubber dam.

First molar amalgam and first premolar composite removal and cleaning of cavities.

CAD/CAM lithium disilicate partial restorations in 3D printed model.

Pre-treatment with HF, rinse with water, 3M™ Scotchbond™ Universal Plus Adhesive and 3M™ RelyX™ Universal Resin Cement application.

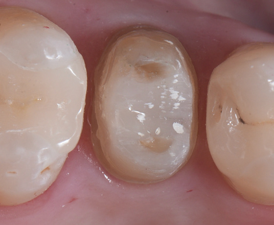
Upper molar and upper premolar partial restorations adhered.

Full-contour zirconia crown in two different views.

Pre-treatment sandblasting with 30 µm Al2O3, cleaning with ethanol and 3M™ RelyX™ Universal Resin Cement application.

Result after cementation.
Refer to Instructions for Use (IFU) for complete product information. Results may vary.
Related Solventum products:
3M™ RelyX™ Universal Resin Cement
- Universal dual-cure resin cement for virtually all adhesive and self-adhesive indications
- Further enhanced bond strength to all substrates by 3M™ Scotchbond™ Universal Plus Adhesive
- Fast and easy excess clean-up
- Unique self-sealing syringe - more hygienic, easier to clean compared to currently used automix syringes
3M™ Scotchbond™ Universal Plus Adhesive
- Added radiopacity
- Bonds and seals caries-affected dentine*
- Advanced bonding to dental and restorative substrates, including glass ceramics
- Full dual- and self-cure compatibility without additional dual-cure activator bottle
- Free of BPA derivatives like BisGMA
*Solventum Internal data
Blog Written By - Dr. Carlo Arcara
About Dr. Carlo Arcara:
Dr. Carlo Arcara graduated in Dentistry and Dental Prosthesis from the University of Milan Bicocca in 2010 and received a PhD in Experimental Periodontology in 2014. He attended various post-graduate education coursework including dental prosthesis, implantology, implant surgery and periodontology. Carlo also follows the courses of Digital Smile Design. Since 2013, he has been a tutor of the annual course in prosthesis of Dr. Dario Castellani. He works in his own private dental practice in Sicily, Italy.
In his free time, he enjoys playing sports, building cafe racer motorcycles and spending time with family and friends.