Confused about dental cement? You’re not alone. Find out how to simplify cementation and streamline your practice – starting with your inventory.
When it comes to choosing modern dental materials, the goals are simple: effectiveness, safety, ease of use, accuracy, and predictability. But true simplification is often easier said than done, particularly for complex procedures. And cementation remains one of the most complex – and often confusing – parts of indirect restorative procedures.
Why is cementation so confusing?
Indirect restorative procedures tend to be time-consuming, complicated and take many steps to complete. And while crown cementation only accounts for a small fraction of that time, it’s one of the most critical steps in the workflow. Mistakes during cementation can lead to several issues, including early restorative failure – which is incredibly costly to both practitioner and patient.
What’s needed for successful cementation?
Successful cementation depends on two critical factors: isolation and cement selection. While proper isolation rests on the skills of the dentist with only a few approaches to choose from, selecting the right cement depends on several factors, including the restorative material, substrate, indication and more. These variables alone can make the choice difficult, but the sheer number of dental cements available can make it seem insurmountable.
How has cementation evolved?
Cementation and bonding materials have evolved to meet the needs of modern restorative materials, resulting in many different groups of cements on the market – some with very subtle differences, even from the same manufacturer. Some require additional conditioning and bonding agents, while others are only feasible for one indication or situation. For many dentists, this leads to a massive collection of cements with overlapping indications and looming expiration dates.
Simplify and standardize your cementation.
If you’ve ever checked your inventory and found you have multiple cements with the same indication or had to toss a bunch of barely used materials because they’d passed their expiration dates, then you’re not alone. Unfortunately, this is a regular occurrence for many dental professionals, and a major hurdle toward simplification. And while simplifying your practice entails more than just your inventory, reviewing the products you use – and don’t use – could help you get closer to achieving a streamlined workflow.
Why it’s worth refining your inventory.
By narrowing your inventory to a select number of versatile cements, you can reduce the number of overlapping products and the risk of premature expiration. What’s more, by working exclusively with a smaller set of choice products, you’ll strengthen your expertise in those materials. Refining your inventory not only helps solve the age-old debate of which cement to use, but it can also reduce educational hurdles between you and your team. If everyone knows what’s on hand and how to use it, you can collectively reduce the chance for miscommunication or mistakes.
Narrowing your materials can improve results.
When you change products constantly, it’s hard to get familiar enough with them to make the most of the materials’ properties. But if you use the same materials repeatedly, you’ll get to know their unique chemistries, their pros and cons, and how to handle them most effectively – reducing the risk of error and improving results.
How can a Universal Resin Cement help your practice?
As we look toward simplifying cementation, the next logical step is a universal solution, such as 3M™ RelyX™ Universal Resin Cement – which works for both self-adhesive and adhesive procedures, alongside 3M™ Scotchbond™ Universal Plus Adhesive. Combining these products into one solution not only eliminates the need to choose between multiple cements, but also reduces complexity – both in procedure and inventory.
What are the features of Universal RelyX Dental Cement?
This universal RelyX dental cement uses a new initiator system that improves its rheology, or flow, making excess clean-up easy and helping reduce waste. It can be used for virtually all adhesive and self-adhesive resin cement indications, which makes it much more straightforward and easier to use, while providing a strong bond to dentin regardless of the curing mode.
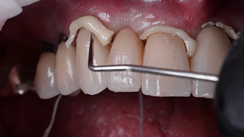
Easy excess removal of 3M™ RelyX™ Universal Resin Cement after tack curing.
This ensures clean margins after polishing.
The innovative, self-sealing automix syringe allows for hygienic storage. The cement can be used with or without the dedicated 3M™ Scotchbond™ Universal Plus Adhesive.
The 3M™ RelyX™ Universal Micro Mixing Tip significantly reduces cement waste.
Switching to a universal solution creates new opportunities.
While cementation can be challenging and confusing, there are ways to simplify the procedure – and it starts in the stockroom. By taking the time to review your materials, you can refine your inventory, your procedure, and your skillset. And the growing trend toward truly universal products opens the door to new opportunities for reducing complexity across the board.
Written by Professor Stefan Vandeweghe, DMD, PhD.
See the full range of 3M dental products and solutions.
Footnotes - https://dentalblog.3m.com/dental/simplifying-cementation/