About the case
A patient presented with minor chipping in her anterior teeth. Before any restorative work could be completed, we addressed the underlying cause (malocclusion) through orthodontic alignment. Post-orthodontically, once proper overjet and functional overlap were established, we moved forward with direct composite bonding to restore form and symmetry to the worn incisal edge.
Challenge
Chipped anterior teeth are often a symptom of deeper occlusal issues. Restoring them without first correcting those forces would compromise longevity. Another minor nuance was selecting the ideal composite shade and consistency; we’re all familiar with the excellent handing of Solventum pastes as well as Solventum™ Filtek™ Easy Match Flowable Restorative’s notable thixotropic properties. The flowable will hold up, in my opinion, if you’re comfortable with the handling.
Outcome
A seamless, single-shade composite restoration that required no layering and minimal chair time: the incisal edge was restored in harmony with the contralateral central, finished, polished, and confirmed to be out of harm’s way in their functional occlusion. The patient was thrilled with the natural aesthetic and the efficient approach.
Case overview
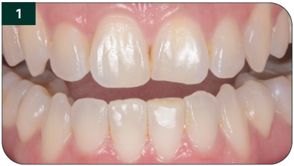
1. Pre-restorative photos post-orthodontics. Wear facets still visible on lower anteriors; occlusion now corrected with functional anterior decoupling.

2. Composite shade try-ins: Bright, Natural, and Warm placed on the incisal edge to assess colour under direct lighting.

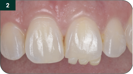
3. Continued shade comparisons using Solventum flowables and pastes. NOTE: pointed forms caused by syringe withdrawal, not gravity.
4. Composite placement complete, prior to final polish. Contour restored but surface not yet finished.

5. Final result after polishing. Incisal edge restored to match the contralateral central. Smooth contour, functional bite confirmed.

Refer to instructions for use (IFU) for complete product information.
Author - Dr. Brian Baliwas, DDS
About Dr. Brian Baliwas, DDS
Dr. Baliwas received his undergraduate degree in Biochemistry and Molecular Biology from UC Davis, followed by post-baccalaureate studies in Human Anatomy and Physiology at the University of Oregon. He received his doctorate in dentistry from the University of the Pacific in San Francisco, where he graduated with high honors and was elected to join both Omicron Kappa Upsilon and Tau Kappa Omega dental honour societies. He is also a graduate of the highly respected Kois Center, which is focused on Advancing Dentistry through Science. Dr. Baliwas teaches part-time at the University of the Pacific Dental School in the Department of Integrated Reconstructive Dental Sciences.
Article published by a Solventum Certified Distributor

© Solventum 2026. Solventum, the S logo and Filtek are trademarks of Solventum or its affiliates. 3M and the 3M logo are trademarks of 3M Company. Other trademarks are the property of their respective owners
